16 November, 2025
breakthrough-study-reveals-synaptic-maturation-process-in-neural-development

Nervous system functions, from motion to perception and cognition, hinge on the active zones of neural circuit connections, or “synapses,” sending precise chemical signals at the right times. Researchers at The Picower Institute for Learning and Memory at MIT have tracked the formation and maturation of synaptic active zones in fruit flies, unveiling a fundamental model of how neural activity during development constructs effective connections.

Understanding this process is crucial not only for advancing basic knowledge of nervous system development but also because disorders such as epilepsy, autism, and intellectual disabilities can stem from synaptic transmission anomalies, according to senior author Troy Littleton, the Menicon Professor at The Picower Institute and MIT’s Department of Biology. The study, funded partly by a 2021 National Institutes of Health grant, sheds light on how active zones develop the capability to transmit neurotransmitters across synapses to circuit targets. The maturation is neither instant nor predetermined; it can take days to fully develop, regulated by neural activity.

If scientists can fully grasp this process, Littleton suggests, they could devise molecular strategies to adjust synaptic transmission when it is excessive or deficient in diseases. “We’d like to have the levers to push to make synapses stronger or weaker, that’s for sure,” Littleton states. “Knowing the full range of levers we can tug on to potentially change output would be exciting.”

How Newborn Synapses Grow Up

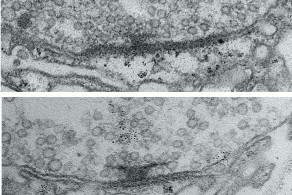
The study, led by Littleton Lab research scientist Yuliya Akbergenova and published on October 14 in the Journal of Neuroscience, explored neurons that send the neurotransmitter glutamate across synapses to control muscles in fly larvae. To examine how active zones matured, scientists needed to track their age, a previously impossible task. Akbergenova overcame this by engineering the fluorescent protein mMaple, which changes from green to red when exposed to ultraviolet light, into a component of glutamate receptors on the synapse’s receiving side.

This innovation allowed researchers to shine light and distinguish synapses formed before that time (glowing red) from new ones (glowing green). With the ability to track each active zone’s “birthday,” researchers documented how these zones developed their capacity to increase output over days post-birth. They observed synapses being built over hours by tagging eight kinds of proteins comprising an active zone. Initially, active zones couldn’t transmit anything. As essential early proteins accumulated, they could spontaneously send out glutamate, but not when evoked by electrical stimulation. Only after more proteins arrived did active zones attain the mature structure for calcium ions to trigger glutamate vesicle fusion to the cell membrane for evoked release across the synapse.

Activity Matters in Synaptic Development

Construction doesn’t continue indefinitely. At some point, the fly larva halts building one synapse and starts new ones further along as the neuronal axon expands with growing muscles. Researchers questioned whether neural activity influenced the process of completing one active zone and initiating another.

To investigate, they employed two interventions to block active zones from releasing glutamate, thus preventing synaptic activity. Notably, one method involved blocking the protein Synaptotagmin 1, significant because mutations disrupting this protein in humans are linked to severe intellectual disability and autism. Researchers tailored activity-blocking interventions to a single neuron per larva, as blocking all neurons would be lethal.

In neurons where activity was blocked, researchers observed two outcomes: neurons ceased building new active zones and instead enlarged existing ones. It was as if neurons sensed the active zone wasn’t releasing glutamate and attempted to compensate by providing more protein material. This effort came at the expense of constructing new active zones.

“I think that what it’s trying to do is compensate for the loss of activity,” Littleton explains.

Testing indicated that enlarged active zones were functional, suggesting a feedback signal from the muscle side of the synapse informed neurons of glutamate’s absence. To test this, scientists knocked out a glutamate receptor component in the muscle, finding neurons no longer enlarged their active zones.

Future Research and Implications

Littleton notes the lab is already exploring new questions raised by these discoveries. Specifically, what molecular pathways initiate synapse formation, and what signals indicate an active zone has completed growth? Answering these questions will bring researchers closer to understanding how to intervene when synaptic active zones fail to develop correctly.

Alongside Littleton and Akbergenova, the paper’s authors include Jessica Matthias and Sofya Makeyeva. In addition to the National Institutes of Health, The Freedom Together Foundation supported the study.